Welcome to Dr.Kaushal Malhan

Health Information Repository

Find reliable health information, FAQs & resources on topics of your interest

General Orthopedic Surgery in Mumbai, India By Dr Kaushal Malhan
The focus in this unit is to provide the patient with a comprehensive diagnosis and care rather than focus only on one are more joints.Dr. Malhan i...
Dr. Kaushal Malhan
Spine Surgery Treatment in Mumbai, India By Dr Kaushal Malhan
Dr. Malhan has trained in some of the finest spine centres in the world including the oswestry spine unit and the team rovides comprehensive care f...
Dr. Kaushal Malhan
Hip Replacement Treatment in Mumbai, India By Dr Kaushal Malhan
The hip joint is a ball and socket joint. The surfaces of the ball and socket are covered with smooth cartilage. If for any reason the cartilage ge...
Dr. Kaushal Malhan
Best Sports and Arthoscopic Surgery in Mumbai, India By Dr.Kaushal Malhan
Dr Malhan has a diploma in sports medicine from the U.K. He offers arthroscopic or keyhole surgery of the knee,shoulder and ankle joints. Complex l...
Dr. Kaushal Malhan
Revision Joint Replacement Treatment in Mumbai, India by Dr Kaushal Malhan
When a primary joint replacement is is worn out or damaged for any reason then that can be changed to a new joint replacement this option is availa...
Dr. Kaushal Malhan
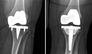
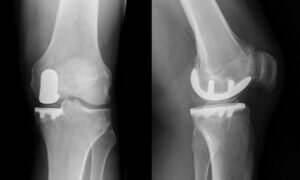
Partial Knee Replacement Treatment in Mumbai, India by Dr Kaushan Malhan.
Sometimes the whole knee joint is not damaged. In such cases a bone conserving option by changing only unhealthy parts of the knee can be utilized....
Dr. Kaushal Malhan
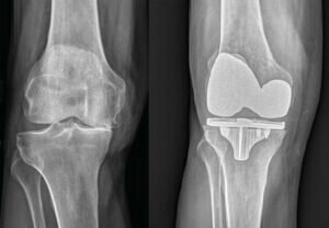
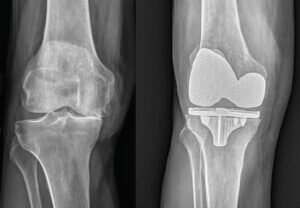
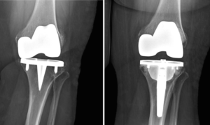
Total Knee Replacement
Total knee replacement is a technique in which the diseased surfaces of the knee are replaced with artificial implants.This is done when end-stage ...
Dr. Kaushal Malhan
Healthy bones
Healthy bones
Cases of weak bones (osteoporosis) and life-changing fractures from falls are on the increase. Find out what you can do to keep your bones fit for purpose whatever your age.
NHS
Back pain
Back pain
Find out how everyday standing and sitting habits can cause back pain and other ailments.
NHS
Trigger finger
Trigger finger
Trigger finger is a condition that affects the tendons in the hand. When the affected finger or thumb is bent towards the palm, the tendon gets stuck and the finger clicks or locks. It's also known as stenosing tenosynovitis or stenosing tenovaginosis.
NHS
Traction
Traction
Traction is the use of weights, ropes and pulleys to apply force to tissues surrounding a broken bone. It's sometimes used to keep a broken leg in the correct position during the early stages of healing, or to ease the pain of a fracture while a person is waiting for surgery.
NHS
Loading...
?
Ask Question
AboutMyClinic
SmartSite created on AboutMyClinic.com
Site-Help | Disclaimer
Disclaimer: The information provided here should not be used during any medical emergency or for the diagnosis or treatment of any medical condition. The information is provided solely for educational purpose and should not be considered a substitute for medical advice.